• Haberler
  • Diyarbakır
  • Nöroloji Uzmanı Dr. Demir: 'MS hastalığında D vitamini oldukça önemlidir'

Nöroloji Uzmanı Dr. Demir: 'MS hastalığında D vitamini oldukça önemlidir'

Diyarbakır Selahaddin Eyyubi Devlet Hastanesinde Nöroloji Uzmanı Dr. Fidel Demir, Uluslararası Multiple Skleroz (MS) Federasyonu'na göre dünyada 3 milyona yakın MS hastasının bulunduğunu ve 60 bininin Türkiye'de olduğunu söyledi.

Diyarbakır Selahaddin Eyyubi Devlet Hastanesinde Nöroloji Uzmanı Dr. Fidel Demir, Uluslararası Multiple Skleroz (MS) Federasyonu’na göre dünyada 3 milyona yakın MS hastasının bulunduğunu ve 60 bininin Türkiye’de olduğunu söyledi.

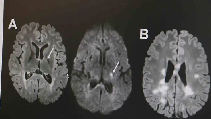
Nöroloji Uzmanı Dr. Fidel Demir, 30 Mayıs "Dünya MS Günü" dolayısıyla İhlas Haber Ajansı (İHA) muhabirine, MS hastalığı sıklığının gittikçe arttığını söyledi. MS hastalığının otoimmün bir hastalık olduğunu belirten Dr. Demir, "Vücuttaki bağışıklık sisteminin beyindeki sinir hücrelerinin yalıtımını sağlayan sinir kılıfına, beyin hücrelerine saldırması sonucu beyinde hasar oluşmaktadır. Hastalığın isminden de anlaşılacağı üzere MS hastalığı birçok bölgede skar dokusuna sebep olabilmektedir. Özellikle hastalarda kol ve bacaklarda güçsüzlük, uyuşmalar, görme kayıpları, baş dönmesi, çift görmeler gibi birçok nörolojik belirti oluşabilmekte. Uluslararası MS federasyonuna göre dünyada 3 milyona yakın MS hastası bulunmakta. Her 5 dakikada bir MS hastalığı tanısı koyulmaktadır. Ülkemizde de yaklaşık 60 bin MS hastası bulunmakta. MS hastalığı ekvatordan uzaklara gidilen ülkelerde, özellikle Avrupa ülkeleri, Amerika ve Kanada gibi ülkelerde sıklığı gittikçe artmakta" dedi.

MS hastalığının kadın popülasyonunda daha sık görüldüğünün altını çizen Demir, "Kadınlarda erkeklere göre bu hastalık yaklaşık 2 kat daha sık görülmekte. MS hastalığı özellikle ataklarla seyreden bir hastalıktır. Hastaların yüzde 85’inde relapsing remitting form dediğimiz atak formuyla seyretmektedir. MS hastalığının tanısı klinik olarak kesin tanı konulabilse de günümüz şartlarında MR çekilmeden kesin tanı konulmaması önerilmektedir. MS hastalığının tedavisine gelecek olursak, kesin bir tedavisi yoktur. Ancak son 10 yılda çok sayıda ilaç kullanıma girmiştir. Bu açıdan MS hastalığı kontrol edilebilir bir hastalıktır. MS hastalığına bağlı ataklara karşı hastalara steroid tedavisi vermekteyiz. MS hastalarında görülen her şikayet atak olmayabilir. Özellikle idrar yolu enfeksiyonu, üst solunum yolu enfeksiyonu, aşırı egzersiz durumlarında, sıcak bir ortamda bulunma gibi durumda hastalarda ısı artışına bağlı olarak daha önceden var olan semptomlarda kötüleşme olabilir. Bunlar daha çok yalancı atak diyebiliriz. Ancak atak diyebilmemiz için şikayetin en az 24 saat sürmesi gerekmektedir" ifadelerinde bulundu.

MS hastalarının vitamin takviyesi yapması gerektiği yönünde uyarıda bulunan Demir, son olarak şunları kaydetti:

"MS hastalarının kesinlikle sigara içmemeleri gerek. Çünkü sigara hastanın tedavi başarısını düşürmektedir. MS hastalarına vitamin D takviyesi önermekteyiz. Çünkü vitamin D eksikliği olan hastalarda beyinde lezyon yükü artışı olur. Prognoz olumsuz etkilenir. Atakların kontrol altına alınması zorlaşır. MS hastalarında D vitamini düzeyinin 40 ng/ml üzerinde olmasını öneriyoruz. Bu yüzden D vitamini takviyesi oldukça önemlidir."

Bakmadan Geçme

Elazığ Haber - Bizi Sosyal Medyada Takip Edin!
WhatsApp İhbar Hattı
0538 23 006 23
ÇEKİN, GÖNDERİN, YAYINLAYALIM!